김형욱의 칼럼언어
부주상골증후군(accessory navicular syndrome)을 아시나요. 해당 증후군(syndrome)은 청소년기의 아이들에게서 쉽게 발견되는 증상 중 하나입니다. 오래전에도 부주상골증후군(accessory navicular syndrome)이 존재했겠지만, 요즘 시대의 성장기 아이들에게 더욱 쉽게 관찰되고 있습니다. 해당 증상은 본 포스팅의 제목처럼 발과 발목 통증(foot & ankle pain)으로 이어집니다. 그리고 당연하게도 통증(pain)까지 이어지는 과정 중에서, 그리고 그 과정 이후에 오는 결과로 인해, 다양한 2차적인 발과 발목의 또 다른 손상(foot & ankle injury)이 야기되기도 합니다.
그렇다면 부주상골증후군(accessory navicular syndrome)은 점점 더 쉽게 관찰되고 있을까요. 그리고 여기에서 오는 통증(pain)이 어떠한 기전(mechanism)으로 발생되는 것일까요. 그리고 가장 최종적으로는 이를 개선하거나 해결하기 위해서는 무엇을 선택할 수 있을까요.

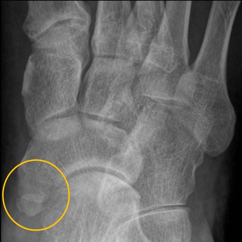
주상골(navicular bone)이 하나가 아니게 되었다.
주상골(navicular bone)은 발목뼈(족근골)(tarsal bone)를 구성하는 뼈(bone) 중 하나입니다. 위치상으로 살펴봤을 때 입방골(cuboid bone)과 설상골(cuneiform bone), 그리고 거골(talus) 사이에 자리 잡은 뼈(bone)입니다. 그렇다 보니 방향적인 위치상 발목 안쪽(internal ankle)으로부터 타고 내려와, 실질적으로 발의 아치(foot arch)가 가장 높게 실리게 되는 위치상에 존재하게 됩니다. 주상골(navicular bone)의 자세한 모습과 위치는 사진을 통해서 제대로 살펴볼 수 있습니다.

사진에서 살펴본 것과 같이 주상골(navicular bone)은 단일한 뼈(bone)입니다. 하지만 부주상골증후군(accessory navicular syndrome)은 주상골(navicular bone)이 하나가 아닌 증상과도 같습니다. 그래서 그 이외의 뼈(bone)를 부주상골(accessory navicular bone)이라 부릅니다. 기본적으로 부주상골(accessory navicular bone)은 더 작은 크기(small size)로 형성되어있으며, 그 위치는 부주상골(accessory navicular bone)이라는 이름답게 주상골(navicular bone) 옆(lateral)에 자리 잡게 됩니다.

주상골(navicular bone)이 왜 하나가 아니게 되었을까?
앞서 이야기했던 것처럼 부주상골증후군(accessory navicular syndrome)은 주상골(navicular bone) 옆(lateral)에 작은 주상골(small navicular bone)이 하나 더 존재하고 있는 증상입니다. 하지만 중요한 것은 왜 그렇게 되었는가에 대한 원인에 대한 부분일 것입니다. 솔직히 따지면, 아직 명확하게 내려진 결론은 없습니다. 그래서 부주상골(accessory navicular bone)이 존재하는 증상을 두고 증후군(syndrome)이라 부르고 있는 것입니다. (증후군이라는 것은 그 원인과 기전에 대해서 명확히 할 수 없을 때, 그러니까 굉장히 다양한 변인과 요인이 동시다발적으로 존재하고 있을 때를 지칭합니다.)
하지만 예전에는 요즘처럼 부주상골증후군(accessory navicular syndrome)이 빈번하지 않았습니다. 요즘 시대의 성장기(growth period) 아이들에게서, 크게는 10%까지도 관찰되고 있다고 합니다. 이것은 대단히 중요한 힌트가 됩니다. 이전의 생활과 요즘의 생활이 얼마나 많이 달라졌는지, 그리고 그 달라진 요인에 대한 환경적인 부분을 넘어서서 인체 움직임 변화까지 고려했을 때에는 어느 정도 생각해볼 만한 사항들이 존재합니다.

김형욱의 생각을 들려주자면..
이전 사람들보다 요즘 사람들에게서 더 잦으면서도 더 많은 움직임손상(movement imparment)이 관찰되고 있습니다. 이것은 발의 안정화(foot stabilization)를 부추길 수 있는 여러 조직들의 상태(tissue condition)와 함께, 기능적으로도 고유감각적인 기능(proprioceptive function)이 감소되어있을 것으로 예상할 수 있습니다. 그렇다 보니 여기에서 오는 유전적인 발현(heredity expression)을 무시할 수 없습니다. 물론 이와 같은 (그리고 추가적으로 언급하지 않은 이외의 유전적 요인) 요인으로만 부주상골증후군(accessory navicular syndrome)이 증가하게 되었다고 이야기하기에는 설득력이 부족합니다. 하지만 후천적인 요인까지 더해본다면, 충분히 예상과 납득이 가능합니다.
요즘 아이들은 걷는 시간이 무척이나 적습니다. 그리고 걷는다 하더라도 그 타이밍과 그 강도 또한 이전 세대의 아이들에 비해서 턱없이 부족합니다. 여기에 지나친 보행기(walker)의 보조, 너무 이르거나 올바르지 못한 신발(shoes) 선택, 그리고 평소 척추(spine)에 부하(load)가 가해지거나 척추(spine)가 기립하는 과정(erector process)에서의 유의미한 스트레스성 외력(external force) 감소 등이 제가 볼 때에는 중요한 요인으로 여기고 있습니다. 그러니까 이러한 선후천적인 요인으로 인해, 점점 더 사람들은 여러 계층을 포함하여 골격계(skeletal system)의 변화가 수반될 수밖에 없는 것입니다.

부주상골(accessory navicular bone)은 발과 발목 통증(foot & ankle pain) 이전에, 그것을 보호하는 기전(protective mechanism)으로 작용한다.
부주상골(accessory navicular bone)은 주상골(navicular bone)과 융합되지 않아 발생되는 증후군(syndrome)입니다. (융합되지 않는 이유도 나열한다면 정말 많겠지만 그걸 떠나서라도) 하지만 부주상골(accessory navicular bone)의 크기(size)나 무게(weight)가 크지 않다면, 부주상골증후군(accessory navicular syndrome)이 있다고 해서 신체가 강하게 느낄 정도로 발과 발목에서의 통증(foot & ankle pain)을 유발하지는 않습니다. 부주상골(accessory navicular bone)이 크면 클수록, 그리고 그 위치(position)가 더 아플 수 있을 만한 장소에 위치하면 위치할수록 통증(pain)도 더욱 증가됩니다.
하지만 중요한 것은 그것이 왜 아프냐에 대한 것보다, 부주상골(accessory navicular bone) 자체의 여부에 대한 사실입니다. 부주상골(accessory navicular bone)이 주상골(navicular bone)과 융합되지 않는 데에는 여러 이유가 존재하겠지만, 그중 하나는 그들이 서로 융합될 수 없을 정도로 조직(tissue)들이 감싸거나 덮고 있는 경우입니다. 그러니까 이것은 개별적인 두 뼈(bone)들을 조절(control)할 수 있는 조직(tissue)들이 개별적으로도, 그리고 통합적으로도 부착(attachment) 및 연결(link)되어 발과 발목(foot & ankle)에서의 고유 지점 특유의 구조(special structure)를 발휘하고 기능(function)을 수행한다는 것입니다. (심지어 아무런 이유 없이 주상골(navicular bone)과 부주상골(accessory navicular bone)이 붙지 않는 상황이라 하더라도, 인접 조직(adjacent tissue)들은 방금 전 이야기한 것과 같은 역할을 이끌어내기 위해서 두 뼈(bone)를 거느리게 될 것입니다.)
부상골(accessory navicular bone)이 존재할 때, 발목뼈(tarsal bone)들 사이에서는 하나의 관절(joint)이 더 형성됩니다. 이로 인해 불이익이 될 수 있는 부분도 존재하겠지만, 이익이 될 수 있는 부분도 분명 존재합니다. 앞서 이야기했던 사항들과 더불어 고려해볼 때, 주상골(navicular bone)들끼리의 더 많은 미끄러짐 관절운동(sliding joint movement)과 함께, 내측 종아치(medial longitudinal arch)를 유지(maintain)하거나지지(supporting)하는 측면에서 더 많은 조직들이 활성화(tissue activation)될 것입니다. (부상골(accessory navicular bone)로 인해, 이곳에서도 부착(attachment)되고 경유하게 되는 조직(tissue)들이 그만큼 존재하므로)
그렇기 때문에 부주상골(accessory navicular bone)은 일종의 보호 기전(protective mechanism)으로 발생될 수 있는 증상이기도 할 것입니다. 좀 더 간단히 표현하자면, 처음부터 강조했던, 요즘 성장기(growth period)의 아이들에게 있어 이전과는 변화된 생활양식과 움직임 패턴(movement pattern) 등을 새롭게 보상(compensation)하기 위한 목적으로, 좀처럼 단일한 주상골(navicular bone)만으로는 그것들을 효과적으로 달성시킬 수 없기 때문입니다. 그러니 부주상골(accessory navicular bone)은 주상골(navicular bone)과 함께, 새로운 환경(environment)에 놓인, 그리고 그 이후에 발과 발목(foot & ankle)에서의 취약점을 해소시킬 수 있는 목적으로 발생될 수 있는 증상이라는 것입니다.

통증(pain)이 없었다면, 우리는 증후군(syndrome)이라 부르지 않았을 것이다.
통증(pain)이 없었다면, 그리고 나아가 겉보기에 아무 이질적인 느낌이 들지 않았다면, 우리는 그러한 것들을 두고 증후군(syndrome)이라 부르지 않았을 겁니다. 부주상골(accessory navicular bone)을 문제 삼고 있는 이유 또한, 발과 발목 통증(foot & ankle pain)과 불편함(discomfort) 등을 넘어서 2차적인 손상(secondary injury)과 함께 여러 기능적인 요소들을 결함(dysfunction)시키기 때문입니다. 하지만 여기에서 자칫 모순적으로 느낄 수도 있습니다. 왜냐하면 방금 전 문단에서, 부주상골(accessory navicular bone)이 단일한 주상골(navicular bone)만으로는 발과 발목에서의 기능(foot & ankle function)을 수행하지 못하니, 변화된 생활양식과 움직임에 대응 및 적응(movement response & adaptation)하기 위해 발생될 수 있는 증상이라고 이야기했기 때문입니다.

부주상골증후군(accessory navicular syndrome)의 통증 원인(pain cause)
부주상골증후군(accessory navicular syndrome)으로 인해 발생되는 통증(pain)의 양상과 정도는 사람마다, 그러니까 대상자의 발과 발목 상태(foot & ankle condition)에 따라 다릅니다. 이때 실제 많은 통증(pain)을 겪고 있는 사람들의 이야기를 들어보자면, 과도한 발과 발목에서의 움직임(foot & ankle movement), 그리고 착용한 신발(shoes)의 여부에 대한 요소를 가장 큰 부분으로 꼽습니다. 물론 부주상골(accessory navicular bone)이 있다 하더라도, 모든 사람이 통증(pain)을 겪는 것은 아닙니다. (통증(pain)과 불편함(discomfort)이 없다면, 개인적으로 증후군(syndrome)이라고까지 표현해야 된다고 생각하지 않습니다.)
부주상골증후군(accessory navicular syndrome)을 겪고 있는 대상자의 발과 발목(foot & ankle)을 보고 있자면, 당연히 부주상골(accessory navicular bone)이 자리 잡은 위치적인 특성으로 인해, 발목뼈(tarsal bone)들의 전체 면적(area)이 증가하게 됩니다. 여기에 부주상골(accessory navicular bone)의 위치(position)나 크기(size)가 주상골(navicular bone)로부터 더욱 도드라질 수 있는 상태에 놓여있다면 더욱 그러할 것입니다. 이런 사람들은 소위 발볼이 넓어진 만큼, 평발(flat foot)처럼 관찰되기 쉽습니다. (추가적으로 더 언급하지 않겠지만, 선천적 평발(innate flat foot)의 경우 이것을 보상(compensation)하기 위한 목적으로 부주상골(accessory navicular bone)이 형성될 가능성도 높습니다.) 특히나 정상 경우보다 아치가 더 낮은 평발(flat foot)을 가지고 있다면, 대상자의 발(foot)은 부주상골(accessory navicular bone)로 인해 더욱 심화된 평발(flat foot)처럼 관찰될 것입니다. 이것은 발 전체 사이즈(foot size)를 계속해서 증가시키는 요인이 되며, 신발(shoes)을 착용함에 있어 발의 내측 아치(medial arch of foot) 부분과 부주상골(accessory navicular bone)이 자리 잡은 영역이 신발 내부 구조(internal structure of shoes)와 너무 가깝게, 그러니까 더 좁은 공간(narrow space)을 허용하게 될 것입니다. 이것은 알다시피 발과 발목(foot & ankle)에 있어서 가동성과 안정성 결함(mobility & stability defect)을 크게 부추길 수 있는 신발(shoes) 착용에서 오는 결함(defect)입니다. 이전에 발과 신발(foot & shoes)에 대해서 작성한 글이 있기 때문에, 이것이 얼마나 인체에 유해한 스트레스가 될 수 있는지에 대해 생각해볼 수 있습니다.
내 발(foot)에 아무 신발(shoes)이나 신겨서는 안됩니다.
김형욱의 칼럼언어 좋은 물, 좋은 음식, 좋은 화장품을 찾기를 위해서는 신경을 곤두세우면서, 왜 하필 신발(shoes)에 대해서는 그렇지 않을까요? 이런 모든 것들은, 우리가 알든 모르든 내 몸
ptful.tistory.com
특히나 발볼이 좁은 신발(narrow shoes)이라면 부주상골증후군(accessory navicular syndrome) 대상자에게 굉장히 악영향을 가할 것입니다. 그리고 이것은 계속해서 관절 움직임(joint movement)과 조직 간의 활동(tissue activity) 및 활주적인 기능(sliding function)들이 발휘되지 못하게 만들 것이며, 그러므로 인해 굉장히 빈번하면서도 강력하게 내측 아치(medial arch) 영역과 부주상골(accessory navicular bone) 및 주상골(navicular bone)을 끊임없이 압박(compression)하게 될 것입니다.
이런 대상자들 중에서 심한 경우에는 여기에서부터 시작하여, 인접한 발목뼈(adjacent tarsal bone)들을 포함한 발목관절 지점(ankle joint area)이 크게 부어있습니다. 그러니까 충분한 공간(space)이 허용되지 못하는 것에서부터 시작하여, 특히나 발과 발목 움직임(foot & ankle movement)이 발생될 때 지속적으로 압박(compression)이 가해지니, 조직(tissue)들은 점차적으로 손상(injury)을 입고 비대해지는 과정(hypertrophy process)을 맞이하게 될 수밖에 없을 것입니다. 그리고 최종적으로 나타나는 결과가 궁극적으로 발과 발목 통증(foot & ankle pain)일 것입니다. 조직 손상(tissue injury) 이후에는 당연히 연쇄적인 반응(chain reaction)으로 인해 2차적인 손상(secondary injury)이 발생될 것이며, 그 영역은 단순히 발과 발목(foot & ankle)에서만 국한되지 않을 것입니다.

부주상골증후군(accessory navicular syndrome)을 꼭 해결해야 하는가?
부주상골(accessory navicular bone)로 인해서 발생하는 통증(pain)과 불편함(discomfort), 그리고 발과 발목(foot & ankle)에서 기능부전된 상태(dysfunction condition)를 회복(recovery)하는 것은 반드시 필요하지만, 부주상골(accessory navicular bone) 자체를 해결할 필요는 없습니다. 그러니까 굳이 부주상골(accessory navicular bone)이 제거될 필요는 없습니다. 여기까지 읽어왔다면 잘 알 수 있겠지만, 부주상골(accessory navicular bone)로 인해서 발생될 수 있는 손상(injury)들은 무조건적이지 않습니다. 선천적인 발과 발목에서의 보상(innate compensation of foot & ankle)이라면, 그것은 성장하는 과정(growth process)에서 인체의 조직들이 그에 맞게 발달(tissue development)되고 세팅됩니다. 아까 얘기했듯이 주상골(navicular bone)만으로 발과 발목(foot & ankle)을 책임질 수 없기 때문에 부주상골(accessory navicular bone)이 탄생될 수 있다는 관점에서 말입니다. 그러니 부주상골(accessory navicular bone)을 가지고 있다 하더라도 일상적으로 문제가 되지 않는다면 특별한 작업을 필요하지 않습니다. 만약 문제가 되고 있다면, 부주상골(accessory navicular bone)의 구조적인 특징(structural feature)을 그대로 살려줄 수 있는 발과 발목에서의 환경(foot & ankle environment)을 제공해줘야 할 것입니다. 그래야만 발과 발목 통증(foot & ankle pain) 없이, 발과 발목 본연의 기능(foot & ankle function)을 수행할 수 있게 될 것입니다.
실제로 모두가 그러하지 않듯이
부주상골(accessory navicular bone)을 가지고 있다 하더라도 모든 사람에게서 통증(pain)이나 불편함(discomfort)이 나타나지 않는 것처럼, 우리는 이러한 사실에 주목해야 합니다. 그리고 부주상골증후군(accessory navicular syndrome)으로 인한 발과 발목 통증(foot & ankle pain) 이후에, 해당 증상이 개선되거나 완화될 수 있는 작업과 환경 변화와 특정 훈련 등을 통해 효과를 본 사람들도 많습니다. 그러니 우리는 이러한 사실에도 주목해야 합니다.
부주상골(accessory navicular bone)을 기형적인 뼈(deformed bone)로 여기지 않아도 됩니다. 부주상골(accessory navicular bone)을 제거의 대상으로 여기지 않아도 됩니다. 그 사람의 발과 발목(foot & ankle)에서는 부주상골(accessory navicular bone)이 필요한 상황입니다. 그것이 잘 자리 잡을 수 있게 하면서 잘 기능(function)할 수 있게 하는 것이, 부주상골(accessory navicular bone)이 부주상골(accessory navicular bone)답게 있을 수 있도록 하는 것입니다.

물론 부주상골(accessory navicular bone)이 제거되어야 할 때도 있다.
발과 발목(foot & ankle)은 쉽게 손상(injury)을 받은 신체 부위 중 하나입니다. 이것은 아무래도 가장 많은 체중(body weight)이 실기는 지점이기도 하거니와, 우리가 생각하지 못할 정도로 보행 움직임(gait movement)만 보더라도 연속적이고 복합적인 다관절 및 다근육 움직임(movement of multi joint & multi muscle)이 발생되기 때문입니다. 그러니 발과 발목 손상(foot & ankle injury)은 해당 지점에서 결함 가능한 조직(defect tissue)들은 무수히 많으며, 그 과정에서 주상골(navicular bone)이 골절(fracture)되거나, 혹은 애초에 부주상골(accessory navicular bone)이 존재하고 있던 상태에서 인접 조직(adjacent)들의 경로 변화(pathway chane), 이탈(breakway), 끼임 등의 원인으로 부주상골(accessory navicular bone)과 조직(tissue)들 사이에서의 마찰(friction)이 증가될 수 있습니다. 특히나 발과 발목(foot & ankle)을 동시에 경유하고 있는 일부 근육(muscle)들이, 부주상골(accessory navicular bone)과 주상골(navicular bone) 바로 옆을 지나가기 때문에 이곳에서 (손상 이후 또는 드물게 선천적인 결함(innate defect)에 의해) 강한 마찰(friction)이 지속적으로 불필요하게 가해진다면, 이와 같은 상황에서는 제거의 대상이 되기도 합니다. 하지만 이러한 필요성 또한, 본 포스팅에서 사전에 나열했던 사항들을 기반으로 하여 고려해야 할 것입니다.
김형욱이 읽어주는 '부주상골증후군(accessory navicular syndrome)으로 인한 발과 발목 통증(foot & ankle pain)'
저도 그동안 많은 부주상골증후군(accessory navicular syndrome) 대상자들을 현장에서 봐왔습니다. 당장 극심한 통증(pain)을 겪고 계신 분들도 많았지만, 아무런 문제 없이 살아가고 있던 분들도 많았습니다. 그리고 잘 정제되면서도 지속적인 관리를 통해서, 기존에 겪고 있던 통증(pain)과 불편함(discomfort) 등의 문제에서 벗어나셨던 분들도 많았습니다. 만약 부주상골(accessory navicular bone)이 존재하는데, 일상생활에서조차 큰 지장이 될 정도로 문제를 겪고 있다면, 그것은 본 포스팅의 내용처럼 부주상골(accessory navicular bone)이 부주상골(accessory navicular bone)다울 수 없는 환경(environment)과 움직임(movement)을 제공했기 때문일 것입니다. (발과 발목 손상(foot & ankle injury) 이후에 찾아온 부주상골증후군(accessory navicular syndrome)은 제외하고) 그러니 이제는 부주상골증후군(accessory navicular syndrome)에 대해서, 그리고 나아가 이와 비슷한 인체의 또 다른 증후군(syndrome)의 것들에 대해서 새로운 시각과 접근이 필요합니다.
· 본 포스팅은 직접 작성한 글로, 2차 가공 및 상업적인 이용을 금지합니다.
· 바디투마인드(http://bodytomind.kr)는 피트니스 교육기관입니다.
· 카페(http://cafe.naver.com/ptful)를 통해서 다양한 정보와 교육소식을 접할 수 있습니다.
· 오픈채팅방(http://open.kakao.com/o/gfHTXf0c)을 통해서 최신 소식을 접 수 있습니다.
'김형욱의 칼럼언어' 카테고리의 다른 글
| 몸에서 뼈소리(bone sound) 나는 증상을 어떻게 해결할 수 있을까? (0) | 2021.07.29 |
|---|---|
| 조금만 움직여도 딱딱거리는 관절소리(joint sound)가 난다면 (0) | 2021.07.28 |
| 복횡근(transversus abdominis)과 다열근(multifidus)에 대한 상식 뒤집기 (0) | 2021.07.26 |
| 얀다(Janda)의 움직임패턴검사(movement pattern test)를 심화시킨 운동검사(movement test) (0) | 2021.07.25 |
| 힙딥(hip dips)의 오해와 진실, 그리고 운동(training)으로도 되지 않는 것 (1) | 2021.07.24 |